纽约医生警告:新冠可致年轻人突然中风 2/3重症感染者不发烧
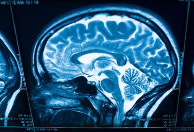
据侨报纽约网报道,纽约医生警告称,新冠病毒可能会导致30岁至40岁没有严重疾病的成年人突然中风(stroke)。据纽约邮报报道,美国有线电视新闻网报道称,西奈山医疗系统(Mount Sinai Health System)医生们认为,越来越多的证据表明,新冠病毒可以使血液以非正常方式凝固,导致通常中风低风险人群中风的几率上升。
神经外科医生奥克斯利(Thomas Oxley)称,“新冠病毒似乎会造成大动脉凝血,导致中风重症。”
奥克斯利及其同事称,有记录他们通常治疗的50岁以下中风患者每月少于两例,但在新冠疫情爆发的这两周内,他们已收治了五人。这些研究发现将发表在《新英格兰医学杂志》上(New England Journal of Medicine)。

奥克斯利称,“我们的报告显示,在过去两周年轻患者突发中风的发病率增加了7倍。大多数患者都没有既往病史,但家中有轻微或无症状新冠感染者。”
“这些患者全部新冠病毒检测呈阳性,其中有两人还延误了呼叫救护车。”
这份报告在纽约引起不安,因为官员建议,除非出现呼吸困难等严重症状才可拨打911报警电话,避免纽约市紧急救护小组(EMS)超负荷。
与此同时,也有些人不愿意前往医院就医,因为担心感染上新冠病毒。
奥克斯利称,他的团队敦促人们留意自己是否出现了新冠感染症状,如果认为自己患上中风应立即拨打911。
为记住中风警告信号,奥克斯利介绍了一个记忆窍门FAST:F代表脸部下垂;A表示手臂无力;S语言说话困难;T拨打911报警电话。

另据abc7ny报道,纽约州最大医疗系统的研究人员将确诊和治疗新冠感染者的新发现发表在《美国医学协会杂志》(Journal of the American Medical Association)。
高级研究员戴维森(Karina Davidson)博士称,“令我最惊讶的是,三分之二的重症新冠感染者没有出现发烧。”
发烧本是医生初诊的第一依据,但戴维森称,重症感染者却没有发烧症状。
戴维森称,“这令人费解,不同感染者有不同症状,有些是轻症,有些却危重。”
尽管哮喘病人属于感染高危人群,但研究人员发现,新冠病毒更针对其他常见基础病患者。
戴维森和她来自诺斯威尔健康系统(Feinstein Institutes for Medical Research and Northwell Health)的同事们收集了从3月1日至4月4日期间5700名住院感染者的记录。
57%的人患有高血压,41%的人肥胖,34%的人患有2型糖尿病(Type 2 diabetes)。结果表明,新冠病毒不仅仅可引发肺部疾病。
戴维森称,“病毒不仅对多器官造成短期伤害,而且我们可能会看到感染的长期后果。”
此外,在每个年龄组中,男性死亡率都高于女性。糖尿病患者更有可能死于急性肾病并使用呼吸机。

美国疾病控制与预防中心(Centers for Disease Control and Prevention,简称CDC)近日发布的数据显示,三分之一美国人患有高血压,40%的人肥胖,超过10%的人患有2型糖尿病。研究人员称他们的发现需要立即采取行动。
戴维森表示,“我们需要预防和管理慢性病。”


